欢迎您访问武汉彧谨生物技术有限公司官方网站

关于我们 联系我们 网站地图

欢迎来电咨询

027-87530722

热门关键词:
酶标仪 荧光定量PCR 基因扩增仪 超微量分光光度计

病理服务

当前位置: 主页 > 产品中心 > 病理服务

病理服务

2022-12-30 10:32 已有人浏览 彧谨生物

分类病理服务

产品病理服务

价格

电话 027-87530722

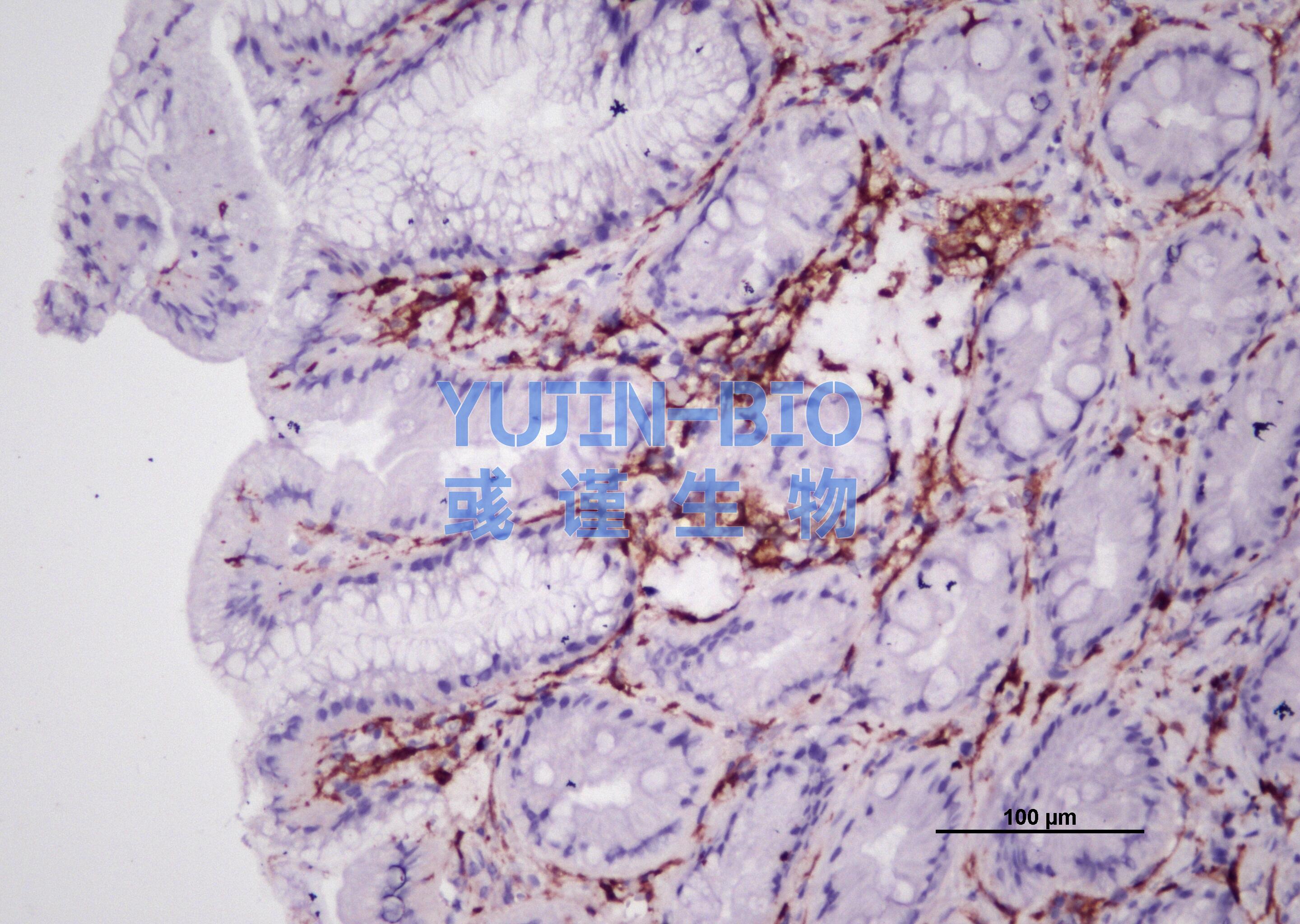
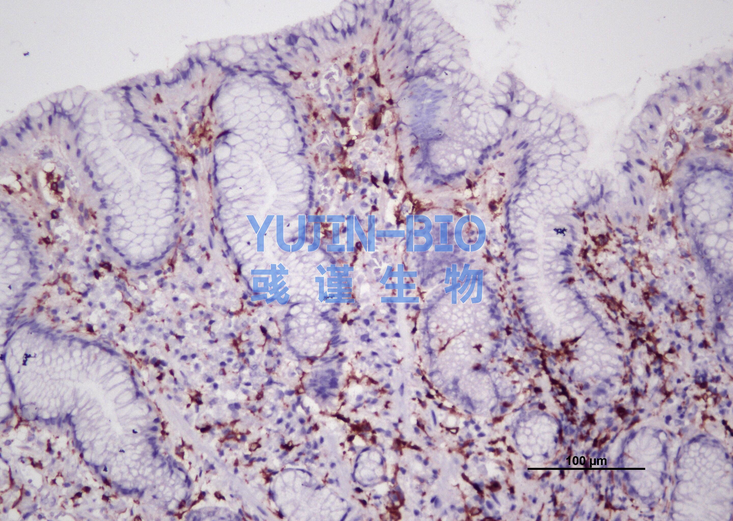
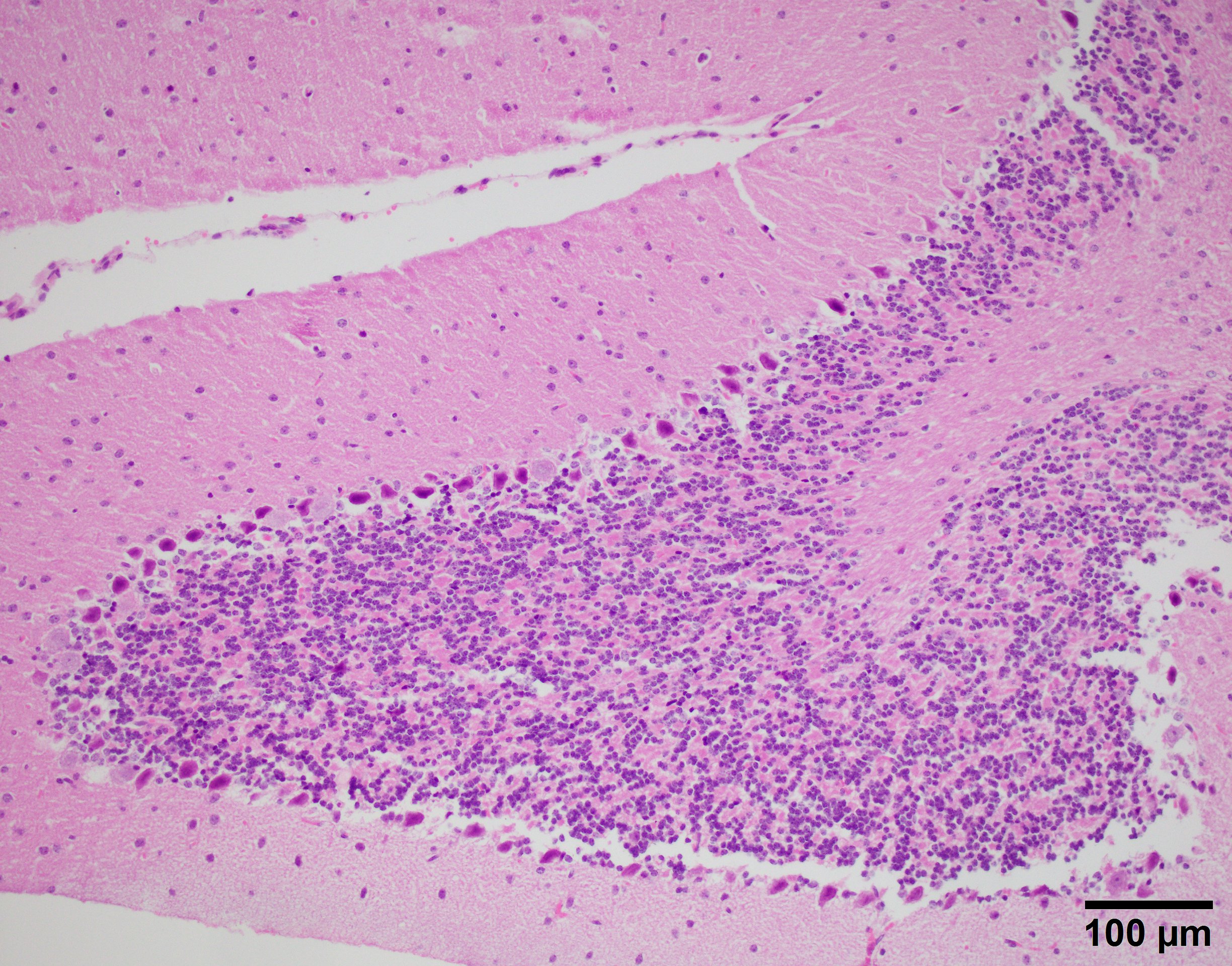
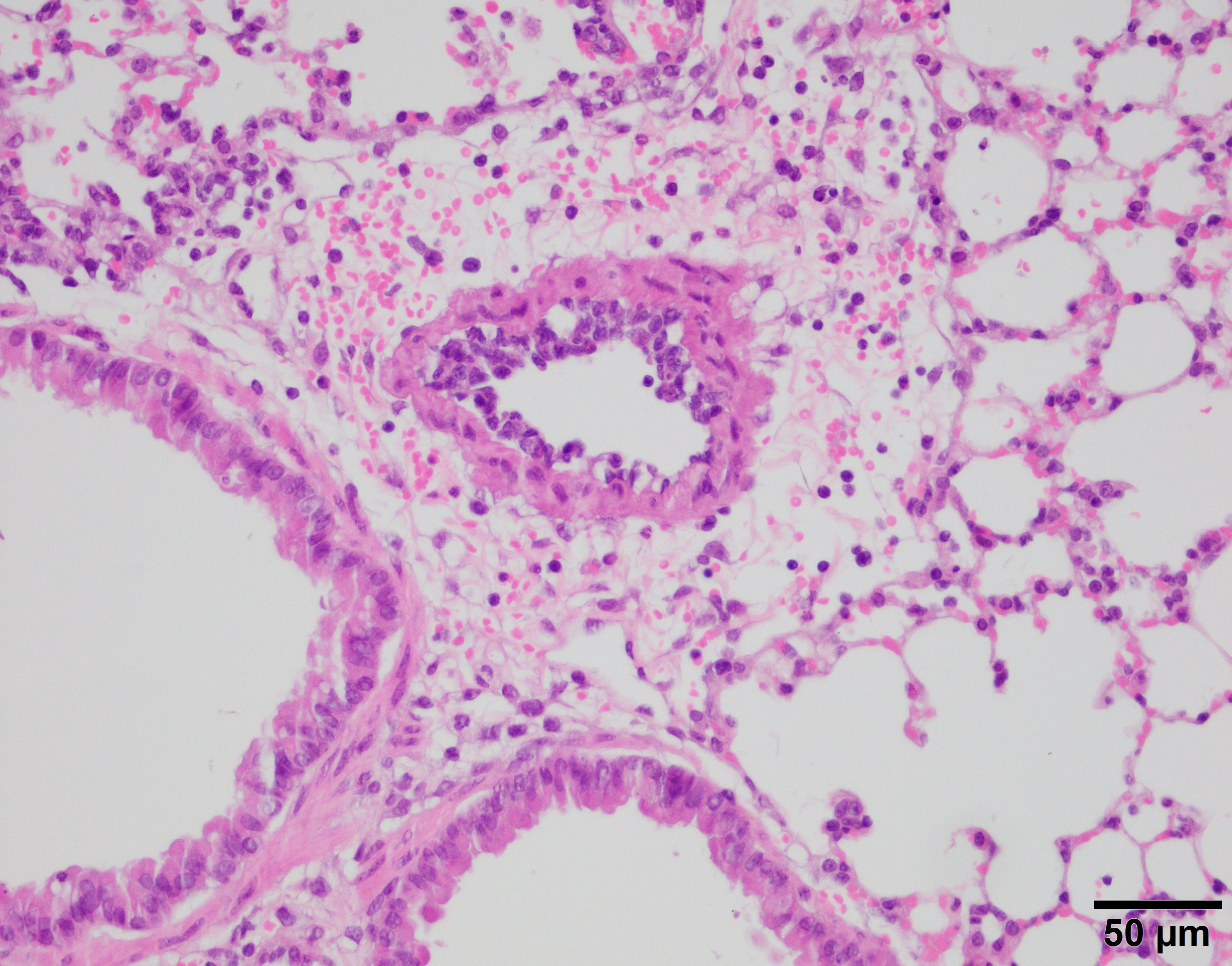
提供病理服务:石蜡切片、冷冻切片、HE染色、特殊染色、免疫组织化学、原位杂交等。...

详情介绍

提供病理服务:石蜡切片、冷冻切片、HE染色、特殊染色、免疫组织化学、原位杂交等。

副本副本副本未命名.png

* 表示必填采购:病理服务
*采购产品: 请填写采购产品名称
*联系人: 请填写您的真实姓名
*手机号码: 请填写您的联系电话
采购意向描述:
请填写采购的产品数量和产品描述,方便我们进行统一备货。
 

相关产品